Aree di interesse


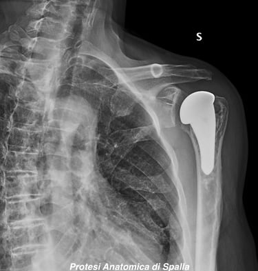
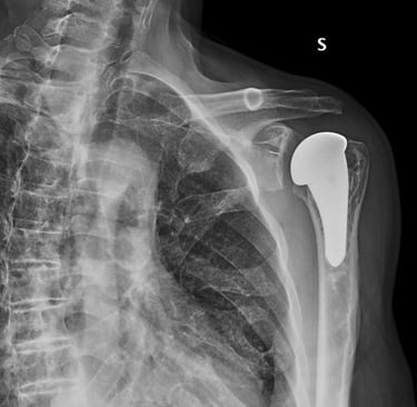
Chirurgia di Spalla e Gomito
Eseguo visite specialistiche, trattamenti conservativi e interventi specialistici sulla spalla e sul gomito, sia artroscopici sia a cielo aperto, per il trattamento delle principali patologie ortopediche e traumatiche di queste articolazioni.
Particolare focus è sulle patologie di:
Tendinopatie e lesioni della cuffia dei rotatori
Instabilità di spalla
Capsulite adesiva ("Frozen Shoulder")
Artrosi di spalla (Gleno-Omerale)
Patologie dell'Acromion-Claveare
Patologia traumatica di spalla (scapola, clavicola e omero)
Patologia traumatica del gomito (omero, radio e ulna)
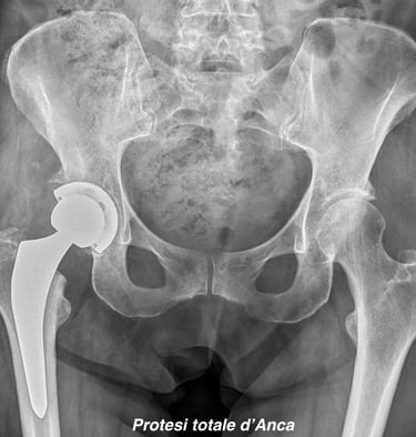
Chirurgia protesica d'anca
Impianti primari con tecnica mininvasiva ("HEROS approach")




Gallery
Attività Chirurgica













Dove visito
Visito privatamente presso Studio Medici e Poliambulatorio in provincia di Como, Varese e Sondrio
Dott. Luca Faoro
Medico e Chirurgo
Specialista in Ortopedia e Traumatologia
P.IVA: 01090010149
Iscritto all'Ordine dei Medici Chirurghi di Sondrio - n° di iscrizione 1607
Contatti
Tel: 329.4492032
e-mail: faoro.luca@gmail.com
© 2025. All rights reserved.
Il sito rispetta le linee guida nazionali in materia di pubblicità sanitaria, secondo gli artt. 55-56-57 del Codice di Deontologia Medica.
Le informazioni contenute in questo sito si intendono per un uso esclusivamente informativo, non promozionale e non sostitutive di una visita medica.